
Case11 著しい過蓋咬合と左側側方歯の鋏状咬合を伴う骨格性上顎前突症
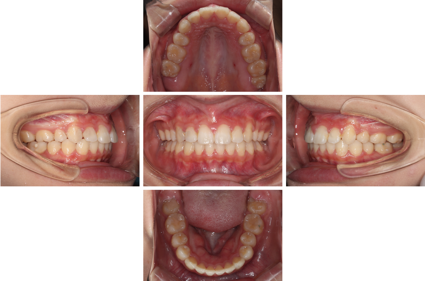
初診時

| ■主訴 | 上の前歯の突出 |
| ■診断名 | 著しい過蓋咬合を伴う骨格性上顎前突症 |
| ■初診時年齢 | 16歳1ヶ月 |
| ■期間 |
2年7ヶ月 |
| ■装置 | 表側の矯正装置 |
| ■抜歯部位 | 上顎左右第一小臼歯 |
| ■費用 | |
| └検査・診断料 | 6万円 |
| └矯正料金 | 80万円 |
| └毎回の調整料金 | 5千円 |
※矯正歯科治療によって生じる併発症(治療上のリスク)として、歯根吸収、う蝕、顎関節症、歯肉退縮、歯髄炎等があります。また治療結果、期間等は個人差があります。
※治療経過の年月はおおよそのものです
治療中
本症例は上顎前歯の後方移動量が最大限必要であったため口蓋側壁に植立した歯科矯正用アンカースクリューを使用して、上顎前歯の後方移動(上顎左右第一小臼歯抜歯)を行いました。
終了

終了して装置を外しました。
術前・術後
主訴である、上の前歯の突出を改善することができ理想的な咬合を獲得できました。
術後患者さんの笑顔も増えたと感じております。
監修
おとなとこどもの歯並び
中山矯正歯科・小児歯科 西大寺 院長
中山 雄司(なかやま ゆうじ)
経歴
- 2012年3月
大阪歯科大学卒業 - 2018年3月
大阪歯科大学大学院歯学研究科博士課程終了 - 2019年4月
大阪歯科大学 歯科矯正学講座 助教 - 2021月4月
大阪歯科大学 附属病院矯正科 診療主任 - 2021年12月
日本矯正歯科学会認定医取得 - 2025年1月
大阪歯科大学大学院歯学研究科(歯科矯正学)講師(非常勤)
資格・所属学会
- 歯学博士
- 日本矯正歯科学会認定医
- 日本矯正歯科学会
- 近畿東海矯正歯科学会
- 日本舌側矯正歯科学会
- 日本顎変形症学会
- 近畿矯正歯科研究会
- 日本顎関節学会
- 日本歯科医学教育学会




